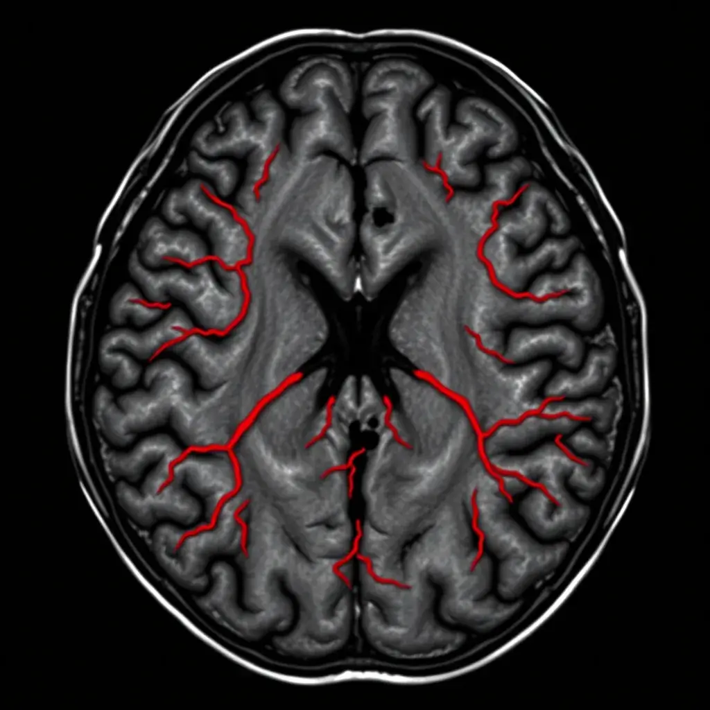
모야모야병은 동아시아에서 주로 발견되는 희귀한 뇌혈관 질환으로, 뇌로 혈액을 공급하는 주요 혈관이 점차적으로 좁아지거나 막히면서 다양한 신경학적 문제를 일으킬 수 있습니다.
이 질환은 이름에서 알 수 있듯이, 뇌의 혈관들이 마치 연기가 피어오르는 것처럼 희미하게 보이는 특징적인 모습을 나타냅니다. 모야모야병은 일반적으로 뇌졸중, 일과성 허혈 발작(TIA) 등 심각한 증상을 동반하며, 특히 뇌출혈과의 밀접한 관련성으로 인해 조기 진단과 치료가 중요합니다.
이번 글에서는 모야모야병의 정의, 주요 원인, 증상, 유전적 요인, 치료법, 그리고 뇌출혈과의 연관성에 대해 자세히 알아보겠습니다.

목차
모야모야병이란?
모야모야병은 뇌의 주요 혈관이 점차적으로 좁아지고 막히면서 뇌로의 혈류가 감소하는 희귀한 만성 혈관 질환입니다.
"모야모야"라는 이름은 일본어로 "안개가 낀" 또는 "연기가 나는"이라는 뜻으로, 이 병을 처음 발견한 일본 의사들이 뇌 혈관에서 관찰된 이상한 혈관망을 묘사하면서 붙여졌습니다.
이 질환은 주로 일본과 한국 등 동아시아에서 많이 발견되지만, 전 세계적으로도 보고되고 있습니다.


모야모야병 원인
모야모야병의 정확한 원인은 아직 밝혀지지 않았습니다. 다만, 일부 연구에서는 유전적인 요인과 환경적인 요인이 결합하여 발생할 가능성이 제기되고 있습니다. 다음과 같은 원인 요인들이 모야모야병과 연관될 수 있습니다.
- 유전적 요인: 가족 내에 모야모야병 환자가 있는 경우 이 질환에 걸릴 위험이 높아지는 것으로 알려져 있습니다. 특히, 특정 유전자 변이가 이 질환과 관련이 있을 수 있습니다.
- 혈관 염증: 혈관 내벽의 염증으로 인해 혈관이 좁아지거나 막히는 경우가 있습니다. 이는 모야모야병과 유사한 증상을 일으킬 수 있습니다.
- 기타 질환: 신장 질환, 다운 증후군, 신경섬유종증 등 특정 질환을 가진 사람들이 모야모야병에 걸릴 확률이 높아질 수 있습니다.
모야모야병 증상
모야모야병의 주요 증상은 혈류 감소로 인해 발생하는 뇌 혈류 부족과 관련이 있습니다. 증상은 나이와 질병의 진행 단계에 따라 다양하게 나타날 수 있습니다. 주로 다음과 같은 증상이 관찰됩니다.


- 뇌졸중(중풍): 혈관이 좁아지면 혈류가 차단되어 뇌졸중이 발생할 수 있습니다. 이는 갑작스러운 언어 장애, 마비, 시력 저하 등을 일으킬 수 있습니다.
- 일과성 허혈 발작(TIA): 짧은 시간 동안 뇌로의 혈류가 감소하면서 일시적으로 손발저림, 마비, 감각둔화 등의 증상이 나타났다가 사라질 수 있습니다.
- 두통 및 발작: 특히 어린이 환자에서 두통과 발작이 자주 발생하며, 이는 혈류가 부족할 때 더 심해집니다.
- 인지 기능 저하: 혈류가 감소하면서 집중력 저하, 기억력 감퇴 등의 인지 기능 저하가 나타날 수 있습니다.
모야모야병 유전 가능성
모야모야병은 유전적 소인이 있는 것으로 알려져 있지만, 가족력이 없는 경우에도 발생할 수 있습니다. 특히 동아시아에서 이 질환이 흔하게 발견되며, 가족 중에 모야모야병 환자가 있는 경우 유전 가능성이 있는 것으로 추정됩니다.


그러나 단일 유전자가 이 질환을 직접적으로 일으킨다는 명확한 증거는 아직 부족합니다.
일부 연구에서는 특정 유전자, 특히 RNF213 유전자 변이가 모야모야병과 밀접한 연관이 있다고 보고되었으며, 이 변이는 일본인과 한국인 환자에게서 높은 빈도로 발견됩니다. 따라서 가족력이 있는 경우 정기적인 검사와 조기 진단이 중요합니다.
모야모야병 치료 방법
모야모야병은 아직 완치 방법이 없지만, 증상을 완화하고 합병증을 예방하기 위해 다양한 치료법이 사용됩니다. 주요 치료법은 다음과 같습니다:
- 약물 치료: 뇌졸중을 예방하기 위해 항응고제나 항혈소판제를 처방받을 수 있습니다. 이는 혈전을 방지하고 혈액 흐름을 개선하는 데 도움을 줍니다.


- 수술: 수술을 통해 뇌에 더 많은 혈류를 공급하는 방법이 가장 효과적인 치료로 여겨집니다. 대표적인 수술 방법으로는 직접 혈관 우회술과 간접 혈관 우회술이 있습니다.
- 직접 혈관 우회술: 뇌의 주요 혈관에 새로운 혈관을 연결하여 뇌로 가는 혈류를 직접적으로 증가시키는 방법입니다.
- 간접 혈관 우회술: 두피나 근육에서 새로운 혈관을 자라나게 하여 시간이 지나면서 뇌에 혈류를 공급하는 방법입니다.
모야모야병과 뇌출혈과의 관련성
모야모야병은 뇌출혈과 깊은 관련이 있습니다. 모야모야병 환자에서는 뇌혈관이 좁아지면서 혈압이 높아지고, 그로 인해 약해진 작은 혈관들이 파열될 수 있습니다.
이로 인해 뇌출혈이 발생하며, 특히 성인 환자에서 뇌출혈이 주요 합병증으로 나타납니다. 뇌출혈은 생명을 위협할 수 있는 위험한 상황이므로 조기 발견과 적극적인 치료가 중요합니다.
특히, 뇌혈류가 감소하는 상황에서 작은 혈관들이 확장되다가 파열될 확률이 높아지며, 이는 심각한 신경학적 후유증을 남길 수 있습니다. 따라서 모야모야병을 진단받은 경우, 정기적인 뇌혈관 검사를 통해 출혈 가능성을 지속적으로 모니터링하는 것이 필요합니다.


결론
모야모야병은 뇌혈관이 점차적으로 좁아지면서 뇌로의 혈류를 감소시키는 만성 질환으로, 뇌졸중, 뇌출혈 등 심각한 합병증을 유발할 수 있습니다.
이 질환의 정확한 원인은 정확히 밝혀지지 않았지만, 유전적 요인과 환경적 요인이 복합적으로 작용하는 것으로 추정됩니다. 조기 진단과 수술적 치료를 통해 증상을 완화하고 합병증을 예방할 수 있으며, 특히 뇌출혈 예방을 위한 꾸준한 관리가 필수적입니다.
뇌수막염: 원인, 증상, 감염경로, 예방 및 치료 방법 총정리
뇌수막염: 원인, 증상, 감염경로, 예방 및 치료 방법 총정리
뇌수막염은 뇌와 척수를 둘러싼 뇌막에 염증이 생기는 질환인데요. 특히 감기와 증상이 비슷하지만 이를 방치하거나 가볍게 여기면, 심할 경우 사망에까지 이를 수 있는 치사율이 꽤 높은 질병
chaechaerry.com
뇌경색 증상과 원인, 예방 방법과 치료 방법 총정리
최근 몇 년간 뇌경색으로 인한 사망률이 지속적으로 증가하고 있습니다. 통계에 따르면, 특히 고령화 사회로 접어든 한국에서 뇌경색 환자 수가 급격히 늘어나고 있으며, 이에 따른 사망률도 높
chaechaerry.com
경계선 지능장애 원인과 증상, 자가 진단 방법은?
경계선 지능장애(경계선 지적 기능 장애, Borderline Intellectual Functioning)는 평균 지능 수준에 비해 약간 낮은 인지 능력을 보이는 상태를 말합니다. 이 장애는 일반적인 일상생활에서 어려움을 겪
chaechaerry.com
'생활정보' 카테고리의 다른 글
| 강릉커피축제 2024: 일정과 다양한 프로그램, 교통과 주차정보까지 총정리 (8) | 2024.10.23 |
|---|---|
| 김장 준비물 체크리스트와 시간 단축 꿀팁 (2) | 2024.10.22 |
| 비립종 원인과 관리 치료 방법: 안전하게 제거하고 예방하는 꿀팁 (2) | 2024.10.21 |
| 2024 부산 불꽃축제 일정 명당 티켓 예매 교통 생중계 총정리 (4) | 2024.10.20 |
| 2025년 육아휴직 제도 개편: 혜택과 변경되는 부분 총정리 (10) | 2024.10.19 |
댓글